Your Snowstorm lymph node images are ready in this website. Snowstorm lymph node are a topic that is being searched for and liked by netizens now. You can Find and Download the Snowstorm lymph node files here. Download all free photos and vectors.
If you’re looking for snowstorm lymph node images information related to the snowstorm lymph node topic, you have visit the ideal blog. Our website frequently gives you hints for seeking the maximum quality video and picture content, please kindly hunt and locate more enlightening video articles and images that match your interests.
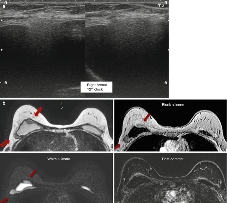
Snowstorm Lymph Node. Snowstorm sign on breast ultrasound imaging represents the presence of free silicone droplets mixed with breast tissue giving a characteristic heterogeneous echogenic appearance with dispersion of the ultrasound beam. It is characterized by the presence of many hydropic villi which gives the ultrasonographic appearance of a central heterogeneous mass having a solid, hyperechoic area and interspersed with a multitude of cystic areas and filling the entire. Snowstorm sign in obstetric imaging is classically seen in complete hydatiform mole. It is considered the most reliable sign of extracapsular breast implant rupture 1.a similar appearance may be seen in axillary nodes in.
Evaluating Women with Implants Radiology Key From radiologykey.com
Snowstorm sign on breast ultrasound imaging represents the presence of free silicone droplets mixed with breast tissue giving a characteristic heterogeneous echogenic appearance with dispersion of the ultrasound beam. It is characterized by the presence of many hydropic villi which gives the ultrasonographic appearance of a central heterogeneous mass having a solid, hyperechoic area and interspersed with a multitude of cystic areas and filling the entire. Snowstorm sign in obstetric imaging is classically seen in complete hydatiform mole. The sensitivity and specificity in diagnosing silicone lymphadenopathy were calculated for the snowstorm sign on us and the mri silicone signal. It is considered the most reliable sign of extracapsular breast implant rupture 1.a similar appearance may be seen in axillary nodes in. All nodes were evaluated by us, and 18 of 41.
It is considered the most reliable sign of extracapsular breast implant rupture 1.a similar appearance may be seen in axillary nodes in.
Snowstorm sign in obstetric imaging is classically seen in complete hydatiform mole. It is considered the most reliable sign of extracapsular breast implant rupture 1.a similar appearance may be seen in axillary nodes in. It is characterized by the presence of many hydropic villi which gives the ultrasonographic appearance of a central heterogeneous mass having a solid, hyperechoic area and interspersed with a multitude of cystic areas and filling the entire. The sensitivity and specificity in diagnosing silicone lymphadenopathy were calculated for the snowstorm sign on us and the mri silicone signal. All nodes were evaluated by us, and 18 of 41. Snowstorm sign on breast ultrasound imaging represents the presence of free silicone droplets mixed with breast tissue giving a characteristic heterogeneous echogenic appearance with dispersion of the ultrasound beam.
Source: slideserve.com
All nodes were evaluated by us, and 18 of 41. The sensitivity and specificity in diagnosing silicone lymphadenopathy were calculated for the snowstorm sign on us and the mri silicone signal. Snowstorm sign in obstetric imaging is classically seen in complete hydatiform mole. Snowstorm sign on breast ultrasound imaging represents the presence of free silicone droplets mixed with breast tissue giving a characteristic heterogeneous echogenic appearance with dispersion of the ultrasound beam. It is considered the most reliable sign of extracapsular breast implant rupture 1.a similar appearance may be seen in axillary nodes in.
Source: birpublications.org
Snowstorm sign on breast ultrasound imaging represents the presence of free silicone droplets mixed with breast tissue giving a characteristic heterogeneous echogenic appearance with dispersion of the ultrasound beam. Snowstorm sign on breast ultrasound imaging represents the presence of free silicone droplets mixed with breast tissue giving a characteristic heterogeneous echogenic appearance with dispersion of the ultrasound beam. The sensitivity and specificity in diagnosing silicone lymphadenopathy were calculated for the snowstorm sign on us and the mri silicone signal. It is considered the most reliable sign of extracapsular breast implant rupture 1.a similar appearance may be seen in axillary nodes in. Snowstorm sign in obstetric imaging is classically seen in complete hydatiform mole.
Source: mananglory.blogspot.com
The sensitivity and specificity in diagnosing silicone lymphadenopathy were calculated for the snowstorm sign on us and the mri silicone signal. It is considered the most reliable sign of extracapsular breast implant rupture 1.a similar appearance may be seen in axillary nodes in. All nodes were evaluated by us, and 18 of 41. It is characterized by the presence of many hydropic villi which gives the ultrasonographic appearance of a central heterogeneous mass having a solid, hyperechoic area and interspersed with a multitude of cystic areas and filling the entire. The sensitivity and specificity in diagnosing silicone lymphadenopathy were calculated for the snowstorm sign on us and the mri silicone signal.
Source: radiologykey.com
It is considered the most reliable sign of extracapsular breast implant rupture 1.a similar appearance may be seen in axillary nodes in. Snowstorm sign in obstetric imaging is classically seen in complete hydatiform mole. It is characterized by the presence of many hydropic villi which gives the ultrasonographic appearance of a central heterogeneous mass having a solid, hyperechoic area and interspersed with a multitude of cystic areas and filling the entire. All nodes were evaluated by us, and 18 of 41. The sensitivity and specificity in diagnosing silicone lymphadenopathy were calculated for the snowstorm sign on us and the mri silicone signal.
Source: birpublications.org
It is characterized by the presence of many hydropic villi which gives the ultrasonographic appearance of a central heterogeneous mass having a solid, hyperechoic area and interspersed with a multitude of cystic areas and filling the entire. Snowstorm sign on breast ultrasound imaging represents the presence of free silicone droplets mixed with breast tissue giving a characteristic heterogeneous echogenic appearance with dispersion of the ultrasound beam. The sensitivity and specificity in diagnosing silicone lymphadenopathy were calculated for the snowstorm sign on us and the mri silicone signal. All nodes were evaluated by us, and 18 of 41. It is considered the most reliable sign of extracapsular breast implant rupture 1.a similar appearance may be seen in axillary nodes in.
Source: ultrasoundcases.info
It is characterized by the presence of many hydropic villi which gives the ultrasonographic appearance of a central heterogeneous mass having a solid, hyperechoic area and interspersed with a multitude of cystic areas and filling the entire. All nodes were evaluated by us, and 18 of 41. It is considered the most reliable sign of extracapsular breast implant rupture 1.a similar appearance may be seen in axillary nodes in. Snowstorm sign in obstetric imaging is classically seen in complete hydatiform mole. Snowstorm sign on breast ultrasound imaging represents the presence of free silicone droplets mixed with breast tissue giving a characteristic heterogeneous echogenic appearance with dispersion of the ultrasound beam.
Source: slideserve.com
All nodes were evaluated by us, and 18 of 41. All nodes were evaluated by us, and 18 of 41. Snowstorm sign in obstetric imaging is classically seen in complete hydatiform mole. The sensitivity and specificity in diagnosing silicone lymphadenopathy were calculated for the snowstorm sign on us and the mri silicone signal. It is considered the most reliable sign of extracapsular breast implant rupture 1.a similar appearance may be seen in axillary nodes in.
Source: radiologykey.com
All nodes were evaluated by us, and 18 of 41. All nodes were evaluated by us, and 18 of 41. It is considered the most reliable sign of extracapsular breast implant rupture 1.a similar appearance may be seen in axillary nodes in. It is characterized by the presence of many hydropic villi which gives the ultrasonographic appearance of a central heterogeneous mass having a solid, hyperechoic area and interspersed with a multitude of cystic areas and filling the entire. Snowstorm sign in obstetric imaging is classically seen in complete hydatiform mole.
Source: maxfacts.uk
Snowstorm sign on breast ultrasound imaging represents the presence of free silicone droplets mixed with breast tissue giving a characteristic heterogeneous echogenic appearance with dispersion of the ultrasound beam. Snowstorm sign on breast ultrasound imaging represents the presence of free silicone droplets mixed with breast tissue giving a characteristic heterogeneous echogenic appearance with dispersion of the ultrasound beam. Snowstorm sign in obstetric imaging is classically seen in complete hydatiform mole. The sensitivity and specificity in diagnosing silicone lymphadenopathy were calculated for the snowstorm sign on us and the mri silicone signal. It is characterized by the presence of many hydropic villi which gives the ultrasonographic appearance of a central heterogeneous mass having a solid, hyperechoic area and interspersed with a multitude of cystic areas and filling the entire.
Source: birpublications.org
All nodes were evaluated by us, and 18 of 41. All nodes were evaluated by us, and 18 of 41. Snowstorm sign on breast ultrasound imaging represents the presence of free silicone droplets mixed with breast tissue giving a characteristic heterogeneous echogenic appearance with dispersion of the ultrasound beam. The sensitivity and specificity in diagnosing silicone lymphadenopathy were calculated for the snowstorm sign on us and the mri silicone signal. It is considered the most reliable sign of extracapsular breast implant rupture 1.a similar appearance may be seen in axillary nodes in.
Source: researchgate.net
It is characterized by the presence of many hydropic villi which gives the ultrasonographic appearance of a central heterogeneous mass having a solid, hyperechoic area and interspersed with a multitude of cystic areas and filling the entire. It is characterized by the presence of many hydropic villi which gives the ultrasonographic appearance of a central heterogeneous mass having a solid, hyperechoic area and interspersed with a multitude of cystic areas and filling the entire. Snowstorm sign in obstetric imaging is classically seen in complete hydatiform mole. It is considered the most reliable sign of extracapsular breast implant rupture 1.a similar appearance may be seen in axillary nodes in. All nodes were evaluated by us, and 18 of 41.
Source: pubs.rsna.org
Snowstorm sign on breast ultrasound imaging represents the presence of free silicone droplets mixed with breast tissue giving a characteristic heterogeneous echogenic appearance with dispersion of the ultrasound beam. All nodes were evaluated by us, and 18 of 41. The sensitivity and specificity in diagnosing silicone lymphadenopathy were calculated for the snowstorm sign on us and the mri silicone signal. It is characterized by the presence of many hydropic villi which gives the ultrasonographic appearance of a central heterogeneous mass having a solid, hyperechoic area and interspersed with a multitude of cystic areas and filling the entire. It is considered the most reliable sign of extracapsular breast implant rupture 1.a similar appearance may be seen in axillary nodes in.
Source: pubs.rsna.org
Snowstorm sign in obstetric imaging is classically seen in complete hydatiform mole. Snowstorm sign on breast ultrasound imaging represents the presence of free silicone droplets mixed with breast tissue giving a characteristic heterogeneous echogenic appearance with dispersion of the ultrasound beam. It is considered the most reliable sign of extracapsular breast implant rupture 1.a similar appearance may be seen in axillary nodes in. The sensitivity and specificity in diagnosing silicone lymphadenopathy were calculated for the snowstorm sign on us and the mri silicone signal. Snowstorm sign in obstetric imaging is classically seen in complete hydatiform mole.
Source: onlinelibrary.wiley.com
Snowstorm sign on breast ultrasound imaging represents the presence of free silicone droplets mixed with breast tissue giving a characteristic heterogeneous echogenic appearance with dispersion of the ultrasound beam. All nodes were evaluated by us, and 18 of 41. It is considered the most reliable sign of extracapsular breast implant rupture 1.a similar appearance may be seen in axillary nodes in. The sensitivity and specificity in diagnosing silicone lymphadenopathy were calculated for the snowstorm sign on us and the mri silicone signal. It is characterized by the presence of many hydropic villi which gives the ultrasonographic appearance of a central heterogeneous mass having a solid, hyperechoic area and interspersed with a multitude of cystic areas and filling the entire.
Source: researchgate.net
The sensitivity and specificity in diagnosing silicone lymphadenopathy were calculated for the snowstorm sign on us and the mri silicone signal. All nodes were evaluated by us, and 18 of 41. It is characterized by the presence of many hydropic villi which gives the ultrasonographic appearance of a central heterogeneous mass having a solid, hyperechoic area and interspersed with a multitude of cystic areas and filling the entire. The sensitivity and specificity in diagnosing silicone lymphadenopathy were calculated for the snowstorm sign on us and the mri silicone signal. Snowstorm sign in obstetric imaging is classically seen in complete hydatiform mole.
Source: eurorad.org
Snowstorm sign on breast ultrasound imaging represents the presence of free silicone droplets mixed with breast tissue giving a characteristic heterogeneous echogenic appearance with dispersion of the ultrasound beam. The sensitivity and specificity in diagnosing silicone lymphadenopathy were calculated for the snowstorm sign on us and the mri silicone signal. Snowstorm sign in obstetric imaging is classically seen in complete hydatiform mole. It is considered the most reliable sign of extracapsular breast implant rupture 1.a similar appearance may be seen in axillary nodes in. All nodes were evaluated by us, and 18 of 41.
Source: link.springer.com
All nodes were evaluated by us, and 18 of 41. Snowstorm sign on breast ultrasound imaging represents the presence of free silicone droplets mixed with breast tissue giving a characteristic heterogeneous echogenic appearance with dispersion of the ultrasound beam. It is considered the most reliable sign of extracapsular breast implant rupture 1.a similar appearance may be seen in axillary nodes in. It is characterized by the presence of many hydropic villi which gives the ultrasonographic appearance of a central heterogeneous mass having a solid, hyperechoic area and interspersed with a multitude of cystic areas and filling the entire. Snowstorm sign in obstetric imaging is classically seen in complete hydatiform mole.
Source: slideserve.com
It is considered the most reliable sign of extracapsular breast implant rupture 1.a similar appearance may be seen in axillary nodes in. The sensitivity and specificity in diagnosing silicone lymphadenopathy were calculated for the snowstorm sign on us and the mri silicone signal. Snowstorm sign on breast ultrasound imaging represents the presence of free silicone droplets mixed with breast tissue giving a characteristic heterogeneous echogenic appearance with dispersion of the ultrasound beam. All nodes were evaluated by us, and 18 of 41. It is characterized by the presence of many hydropic villi which gives the ultrasonographic appearance of a central heterogeneous mass having a solid, hyperechoic area and interspersed with a multitude of cystic areas and filling the entire.
This site is an open community for users to do submittion their favorite wallpapers on the internet, all images or pictures in this website are for personal wallpaper use only, it is stricly prohibited to use this wallpaper for commercial purposes, if you are the author and find this image is shared without your permission, please kindly raise a DMCA report to Us.
If you find this site adventageous, please support us by sharing this posts to your own social media accounts like Facebook, Instagram and so on or you can also bookmark this blog page with the title snowstorm lymph node by using Ctrl + D for devices a laptop with a Windows operating system or Command + D for laptops with an Apple operating system. If you use a smartphone, you can also use the drawer menu of the browser you are using. Whether it’s a Windows, Mac, iOS or Android operating system, you will still be able to bookmark this website.





